Diagnostic et contrôle du succès du traitement

Les imageries médicales modernes sont indispensables pour poser un diagnostic de cancer, également en cas de cancer du sein. Les imageries sont très utiles pour le dépistage, pour dissiper les suspicions et vérifier le succès du traitement une fois la thérapie terminée.

Sur cette page, vous trouverez des informations sur les thèmes suivants:

Imagerie par résonance magnétique (IRM) en cas de cancer du sein

L’imagerie par résonance magnétique (IRM), ou remnographie, utilise des champs magnétiques et des ondes radioélectriques pour produire des images en coupe des tissus internes du corps humain. Cette procédure non invasive permet d’avoir une visualisation des organes et des autres tissus mous sans provoquer de dommages. En cas de tumeurs, les médecins utilisent surtout les IRM pour évaluer la position et la taille des tumeurs et des métastases.

L’IRM n’est pas un examen effectué de manière standard en cas de cancer du sein. Cet examen peut toutefois aider à poser le diagnostic, surtout lorsqu’une mammographie ne peut pas être effectuée ou si les résultats de la mammographie ne sont pas clairs. Des examens de dépistage sont par ailleurs recommandés dès l’âge de 25 ans pour les femmes dont la prédisposition génétique au cancer du sein est élevée. Dans de tels cas, l’IRM peut être utilisée pour le dépistage, car la mammographie ne donne souvent pas de résultats pertinents chez les jeunes femmes. En outre, la mammographie entraîne une exposition aux rayons X, contrairement à l’IRM. Il est préférable d’éviter une trop forte exposition aux rayonnements chez les jeunes femmes.

Lors d’une IRM, la patiente s’allonge sur une table d’examen. Celle-ci entre ensuite dans un tunnel, ouvert des deux côtés. Comme l’appareil IRM est bruyant, les patientes reçoivent un casque anti-bruit.

Pendant l’examen, il est parfois nécessaire que la patiente retienne brièvement sa respiration plusieurs fois. Ce n’est qu’ainsi que les médecins peuvent avoir des images précises du sein. La plupart du temps, un produit de contraste spécial est injecté aux patientes. Celui-ci est généralement bien toléré et permet à l’équipe de radiologie de mieux détecter les anomalies.

Une collaboratrice d’une équipe de radiologie utilise un appareil IRM.
iStock-134574911_Photo_Concepts

Check-list – bien préparée pour votre rendez-vous médical

De nombreux points sont à prendre en compte lors d’une consultation médicale. Afin de n’oublier aucune question importante, nous avons élaboré une liste pratique. Elle contient des questions essentielles pour chaque étape, du diagnostic au suivi en période de rémission, en passant par les différentes options thérapeutiques. Grâce à cette check-list, vous serez parfaitement préparée pour votre prochain rendez-vous médical.

Page de garde de la check-list pour le rendez-vous médical.

Comme la mammographie, la tomographie assistée par ordinateur (scanner CT) utilise des rayons X. Mais, contrairement aux radiographies classiques, le scanner CT permet d’avoir une représentation en trois dimensions de l’intérieur du corps. Les médecins peuvent ainsi mieux évaluer par exemple, la position exacte d’une tumeur dans le sein. 

Comme pour l’IRM, la patiente est allongée sur une table d’examen. Celle-ci est ensuite poussée dans l’appareil CT pour la prise d’images. Un produit de contraste injecté dans le bras de la patiente permet d’obtenir des images précises. Pendant l’examen, le personnel médical indique à la patiente à quel moment elle doit retenir brièvement sa respiration grâce à un haut-parleur intégré à la machine.

Les scanners CT utilisent les rayons X. La dose de rayons utilisée dans les appareils CT actuels est toutefois très faible. De plus, des techniques modernes permettent de réduire le rayonnement au maximum.

Une femme âgée sur une table d’examen.
iStock-512702234_laflor

PET et PET-CT en cas de cancer du sein

Grâce à la tomographie à émission de positons (PET), les spécialistes peuvent voir l’activité métabolique dans le corps. Cet examen est utile, car les tumeurs et les métastases ont une plus forte activité métabolique que les tissus sains. Avant le début de l’examen, une substance légèrement radioactive, similaire au sucre, est injectée à la patiente. Cette substance se dépose ensuite principalement dans les tissus cancéreux en raison de leur forte activité métabolique. Ces amoncellements sont clairement visibles sur les images PET. Pour l’examen PET, la patiente est allongée, puis elle entre dans le tube de l’appareil. Dans ce tube court, des boutons mesurent le rayonnement radioactif et le rendent visible de manière numérique. La substance légèrement radioactive est ensuite rapidement éliminée par l’organisme.

Lors d’un examen combiné PET-CT, un produit de contraste supplémentaire est injecté. En combinant le PET et le scanner CT, les médecins obtiennent d’autres informations sur le cancer du sein. Le PET-CT est particulièrement adapté pour dépister la tumeur d’origine ainsi que d’éventuelles métastases dans le corps. Il est en outre souvent utilisé pour évaluer le succès des traitements comme la chimiothérapie. Pour le suivi, le PET-CT permet de confirmer ou de réfuter les suspicions d’une récidive de la maladie ou de métastases.

Vue d'une image de scintigraphie
iStock-134715703_choja

La scintigraphie est une méthode d’examen de médecine nucléaire qui permet de détecter des tumeurs et des métastases dans le corps. Une substance légèrement radioactive est injectée à la patiente. Selon la substance injectée, celle-ci se dépose dans certains tissus (par exemple les os). Un scanner spécial – la gamma caméra – mesure le rayonnement indiqué par la substance. Les médecins ont ainsi des informations sur de possibles tumeurs. La scintigraphie est recommandée pour trouver des métastases osseuses en cas de cancer du sein. Cet examen est également utilisé pour vérifier si les cellules cancéreuses se sont aussi propagées dans les ganglions lymphatiques voisins. Les résultats de la scintigraphie permettent d’avoir des informations sur la propagation de la maladie et servent surtout à planifier le traitement. Par la suite, la scintigraphie permet aussi d’évaluer le succès du traitement.

Cela pourrait vous intéresser

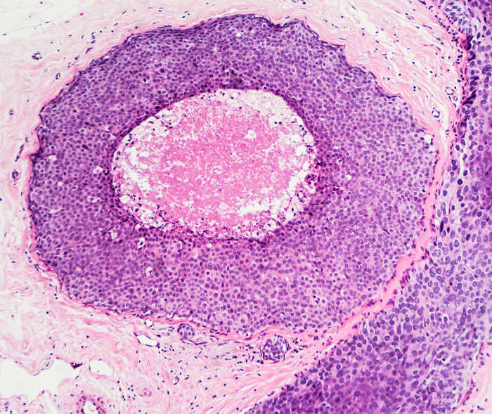
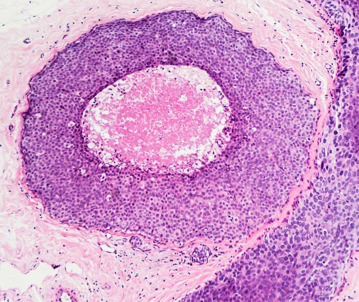
Structure cellulaire au microscope.
iStock-531314800_rightdx
Un médecin explique quelque chose à un patient.
iStock-1499725225_nortonrsx

Source

  1. Arbeitsgemeinschaft der Wissenschaftlichen Medizinischen Fachgesellschaften e. V., der Deutschen Krebsgesellschaft e. V. und der Stiftung Deutsche Krebshilfe: Brustkrebs im frühen Stadium. https://www.krebshilfe.de/infomaterial/Patientenleitlinien/Brustkrebs-im-fruehen-Stadium_Patientenleitlinie_DeutscheKrebshilfe.pdf (dernière lecture le 10.12.2024).
  2. Arbeitsgemeinschaft der Wissenschaftlichen Medizinischen Fachgesellschaften e. V. (AWMF): Früherkennung von Brustkrebs. Eine Entscheidungshilfe für Frauen. https://www.leitlinienprogramm-onkologie.de/fileadmin/user_upload/Downloads/Patientenleitlinien/Patientenleitlinie_Brustkrebs_Frueherkennung.pdf (dernière lecture le 10.12.2024).
  3. Deutsche Krebsgesellschaft: Brustkrebs: Ausbreitungsdiagnostik. https://www.krebsgesellschaft.de/onko-internetportal/basis-informationen-krebs/krebsarten/brustkrebs/diagnose/ausbreitungsdiagnostik.html (dernière lecture le 10.12.2024).
  4. Deutsche Krebsgesellschaft: Erblicher Brustkrebs – Wenn der Krebs in den Genen liegt. https://www.krebsgesellschaft.de/onko-internetportal/basis-informationen-krebs/basis-informationen-krebs-allgemeine-informationen/erblicher-brustkrebs-wenn-der-k.html (dernière lecture le 10.12.2024).
  5. Deutsche Krebsgesellschaft: Positronen-Emission-Tomografie (PET). https://www.krebsgesellschaft.de/onko-internetportal/basis-informationen-krebs/diagnosemethoden/positronen-emmission-tomografie-pet-bei-krebs.html (dernière lecture le 10.12.2024).
  6. Deutsches Krebsforschungszentrum: Diagnose Krebs: Untersuchungen und Methoden der Diagnostik. https://www.krebsinformationsdienst.de/untersuchungen-bei-krebs (dernière lecture le 10.12.2024).
  7. Deutsches Krebsforschungszentrum: Häufige Fragen zur Positronen-Emissions-Tomographie (PET). https://www.krebsinformationsdienst.de/untersuchungen-bei-krebs/positronenemissionstomographie-und-pet-ct/haeufige-fragen (dernière lecture le 10.12.2024).
  8. Deutsches Krebsforschungszentrum: Überblick: Häufig gestellte Fragen zur Szintigraphie. https://www.krebsinformationsdienst.de/untersuchungen-bei-krebs/szintigraphie/haeufige-fragen (dernière lecture le 10.12.2024).